Allo Studio Medico Virzì siamo specializzati in cure parodontali e in trattamenti di chirurgia gengivale avanzati.
Prenditi cura delle tue gengive. Non aspettare complicazioni che rendono più lunghe e costose le terapie necessarie per evitare la perdita dei denti.

Allo Studio Dentistico del Dott. Virzì, a Milano, eseguiamo interventi di chirurgia gengivale ovvero procedure chirurgiche per le malattie parodontali, trattamenti per la recessione gengivale, rimozione delle tasche parodontali, rigenerazione dell’osso e dei tessuti molli, e altre procedure mirate alla risoluzione dei problemi del parodonto.
La Parodontite, un’infezione che distrugge la struttura di sostegno dei denti provocandone la caduta, è causata dalla placca batterica che nelle fasi iniziali innesca un processo infiammatorio provocando arrossamento, gonfiore e sanguinamento (Gengivite).
Se trascurata, questa condizione può danneggiare i tessuti che sostengono il dente, portando alla formazione di tasche gengivali e alla distruzione dell’osso alveolare, evolvendo quindi in Parodontite. Se non diagnosticata e curata per tempo, porta alla perdita dei denti.
I sintomi clinici della Parodontite, quali ascessi o mobilità dei denti, spesso appaiono solo in uno stadio avanzato della malattia. Ecco perché è fondamentale ricevere una diagnosi di Parodontite che viene effettuata durante una visita specialistica eseguita dall’Odontoiatra-Parodontologo.
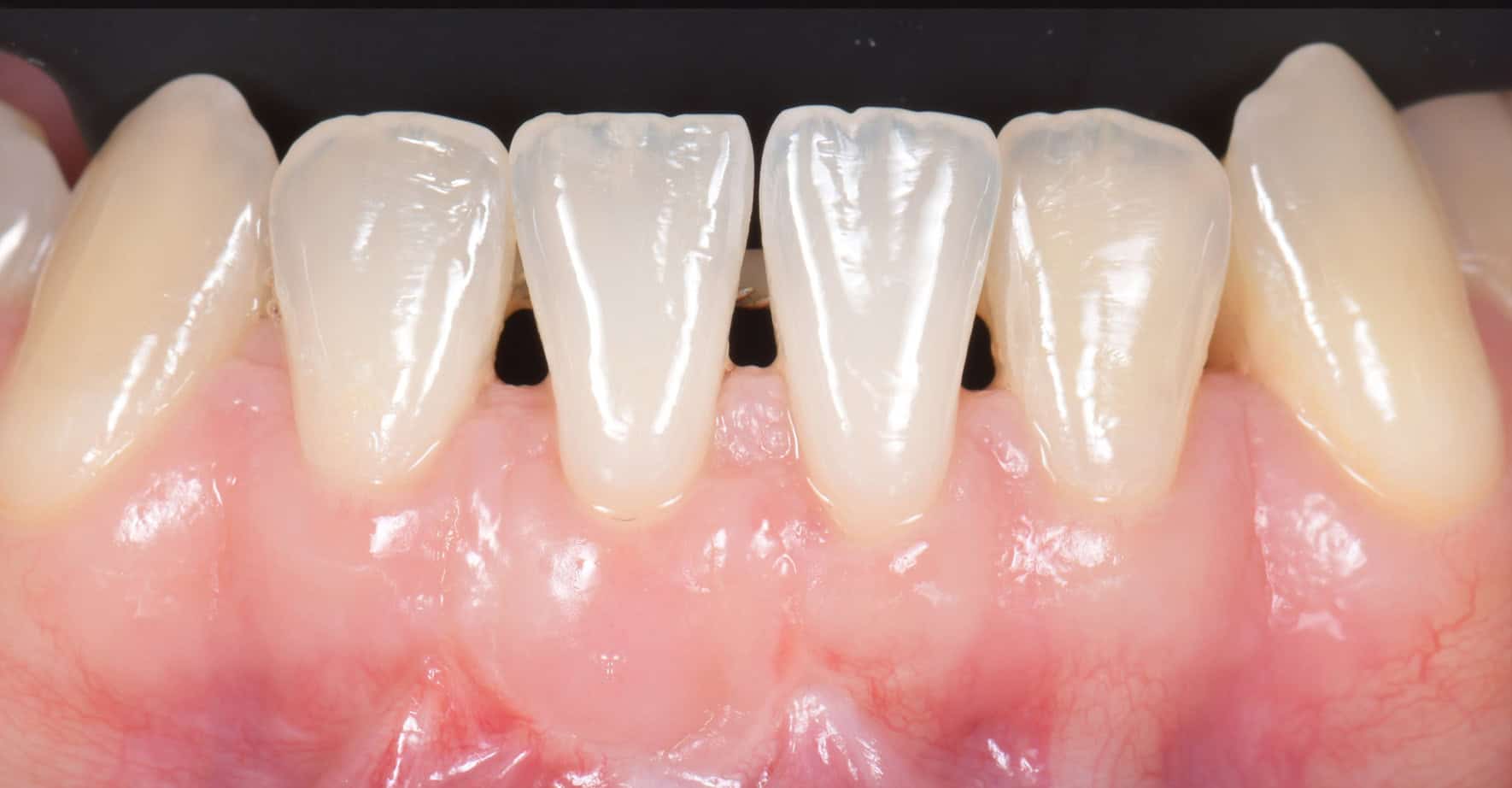
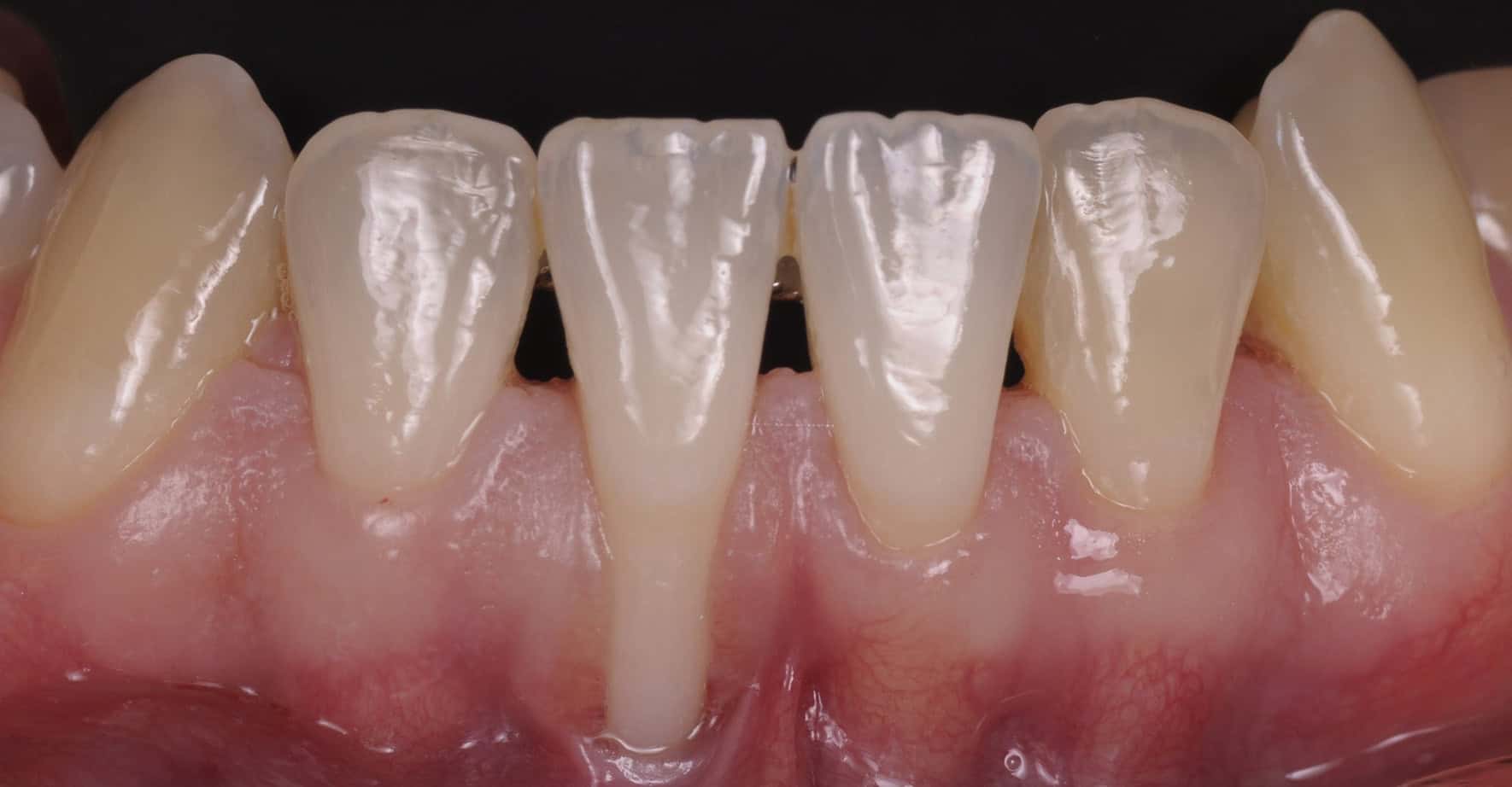
Guarda alcuni dei casi trattati di chirurgia gengivale

Nel dettaglio, ci occupiamo di questi interventi:
Eliminazione chirurgica delle tasche
Trattamento chirurgico della piorrea
Rigenerazione dell’osso

Con soluzioni tecnologiche avanzate, utilizziamo l’intervento di eliminazione chirurgica delle tasche, anche noto come chirurgia delle tasche parodontali, per ridurre la profondità delle tasche gengivali che si formano attorno ai denti come conseguenza della malattia parodontale.
La malattia parodontale è un’infezione batterica che inizia colpendo proprio le gengive, ma che può estendersi anche ad altre strutture.
Le cause sono da ricercare nella formazione di placca batterica che si accumula tra dente e gengiva diventando tartaro, responsabile di infiammare e infettare le gengive e le strutture ossee. Questa condizione porta allo sviluppo delle cosiddette tasche gengivali o tasche parodontali, e alla conseguente proliferazione di batteri.
È necessario trattare le tasche parodontali quando diventano molto profonde e si deve intervenire per rimuovere l’infezione batterica e per ridurne la profondità così da ripristinare la salute delle gengive.
La ‘piorrea’, o Parodontite, è una forma avanzata di malattia gengivale infiammatoria degenerativa del tessuto osseo e molle dei denti che – non curata – può causare la perdita dei denti.
La struttura ossea si indebolisce a causa della perdita del supporto ai denti (gengiva, legamento parodontale, osso). Le cause sono da ricercare nella presenza di placca batterica, tartaro, cattiva igiene orale, abitudine del fumo.
Il trattamento può prevedere la rimozione della placca batterica e del tartaro, il rimodellamento delle gengive e la rigenerazione dei tessuti.
A seconda della gravità, che può stabilire solo un parodontologo qualificato dopo un accurato controllo, possono essere necessari diversi tipi di interventi.
In presenza di un problema allo stadio iniziale, può essere sufficiente osservare una corretta igiene orale e ricorrere a trattamenti periodici di pulizia dei denti.
Il curettage è la procedura di pulizia profonda dei denti, nelle zone sotto la gengiva, che può essere effettuato manualmente o con laser per rimuovere il tartaro sottogengivale, causa della proliferazione batterica e responsabile dell'infiammazione cronica delle gengive.
La gengivectomia (rimodellamento delle gengive) è il processo di rimozione delle gengive in eccesso nelle aree in cui si formano la crescita gengivale e le tasche profonde.


La procedura di rigenerazione parodontale può prevedere la rigenerazione dell’osso e dei tessuti attorno al dente danneggiato a causa della Parodontite. Per quanto riguarda la struttura ossea di sostegno, si procede con un innesto osseo che permetterà ai denti di diventare più stabili.
La rigenerazione dell’osso è una procedura di chirurgia rigenerativa che si esegue per ricostruire la parte di osso danneggiata dalla malattia gengivale avanzata, che ha portato all’allentamento o instabilità dei denti.
L’intervento di rigenerazione ossea può avvenire attraverso l’osso del paziente oppure mediante materiali artificiali che imitano le proprietà dell’osso naturale.
La chirurgia muco-gengivale è una specialità della parodontologia che si occupa specificamente di correggere i problemi dei tessuti molli intorno ai denti, gengive e mucosa orale.
Eseguiamo procedure come innesti gengivali e altri interventi di rigenerazione dei tessuti per coprire le radici esposte dei denti.
Altri interventi di chirurgia muco-gengivale possono riguardare l’aumento della gengiva cheratinizzata per aumentare la quantità di gengiva resistente attorno ai denti; la correzione dei frenuli; il rimodellamento gengivale per migliorare la forma delle gengive.

Quando si verifica una recessione gengivale, ovvero la perdita di tessuto gengivale esterno al dente, significa che le gengive si stanno ritirando progressivamente, lasciando scoperta la parte inferiore del dente.
Per evitare che questa condizione possa aumentare il rischio di infezioni e altri problemi dentali, è bene appurare che non vi sia anche un problema parodontale più serio che, alla lunga, può portare alla perdita dei denti.
Alcuni segnali, che si verificano in modo graduale, possono essere la spia di un problema di recessione gengivale. La radice del dente scoperta, infatti, può causare:
L’intervento per la recessione gengivale può dipendere dalla gravità della condizione. Dopo un’accurata visita di controllo si possono valutare
L’intervento per risolvere il problema della recessione gengivale è fondamentale per coprire le radici dentali scoperte a causa del ritiro delle gengive. Le gengive scoperte possono lasciare scoperta la parte del colletto portando alla sensibilità del dente e alla formazione di carie radicolari.
Le gengive non possono ricrescere da sole, ma possono tornare alla loro posizione originaria attraverso interventi di chirurgia parodontale.
Questo problema che interessa le gengive può essere causato da diversi fattori come procedure di spazzolamento quotidiano aggressivo, malattie parodontali o malocclusioni dentali.
Oltre alla recessione gengivale, i segnali della Parodontite sono il dolore e l’arrossamento gengivale, il sanguinamento delle gengive che può avvenire quando ci si lava i denti; la mobilità dei denti.
Via Soperga, 8 20127 Milano - Dir. San. Dott. Mauro Virzì Citarra - Albo degli odontoiatri di Milano - N. iscrizione ordine 3134 - Informazione sanitaria ai sensi delle leggi 248/2006 e 145/2018 - P.IVA 11311610965
Lunedì: 9:00/19:00
Martedì: 9:00/19:00
Mercoledì: 9:00/18:00
Giovedì: 9:00/19:00
Venerdì: 9:00/18:00
Sabato: 9:00/14:00 su appuntamento