L’Estetica Dentale è una della eccellenze dello Studio Virzì. Siamo specializzati in soluzioni di Estetica Dentale, per il rinnovamento del sorriso in modo rapido, efficace e duraturo.
Prenota la prima visita di estetica dentale a Milano, allo Studio Virzì

L’estetica dentale è la branca dell’odontoiatria che si occupa di migliorare l’aspetto di denti e gengive, per rendere il sorriso sano e luminoso. Esistono diverse tecniche e materiali volti a ottenere un sorriso esteticamente gradevole e armonioso rispetto al volto.
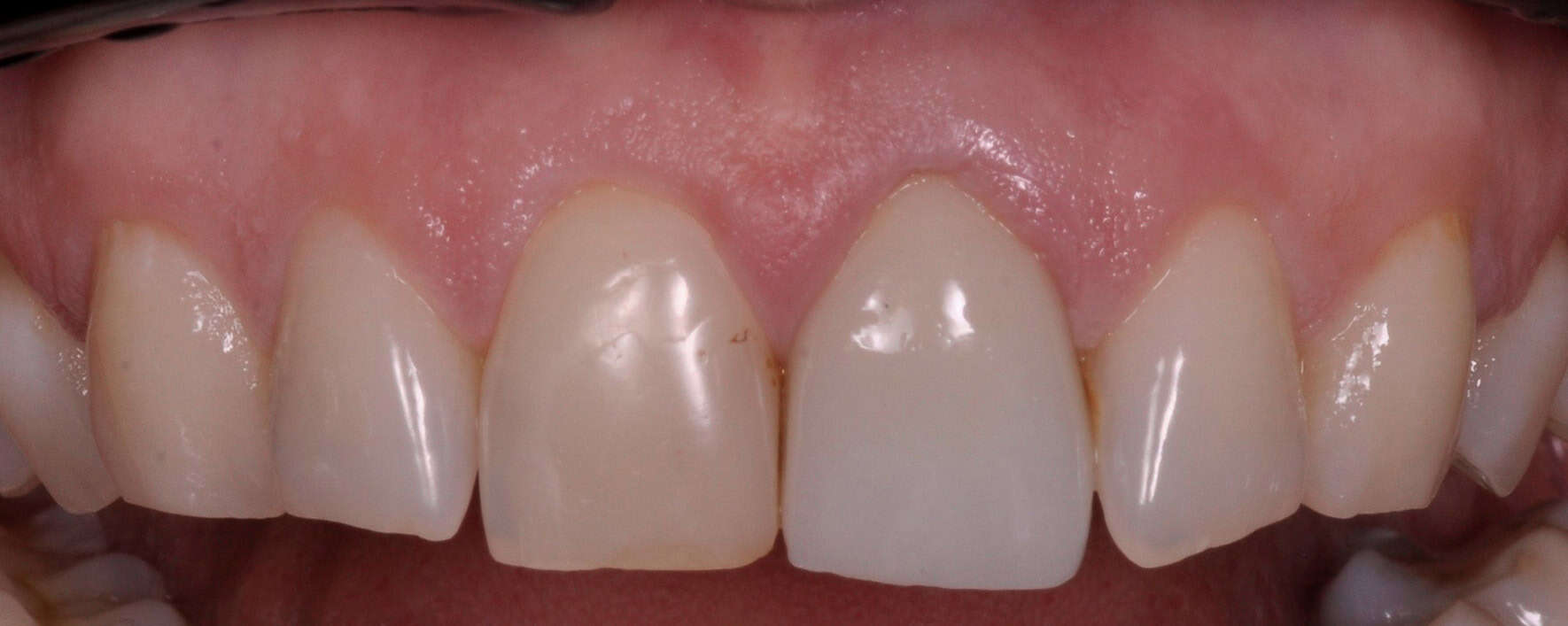
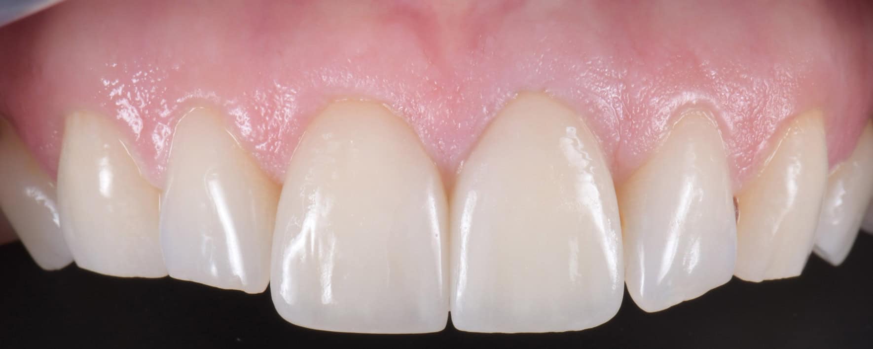
Le faccette dentali in ceramica sono la soluzione migliore per trasformare il sorriso, ecco perché:
Se vuoi approfondire clicca qui!
Guarda alcuni dei casi trattati di estetica dentale
Le ricostruzioni dirette dei denti sono un’altra possibilità per ottenere un risultato estetico eccellente. La procedura di realizzazione è simile alle faccette in ceramica, sono pertanto mini-invasive e sicure anche se il materiale utilizzato per la copertura anteriore del dente è differente. La Resina Composita che viene utilizzata garantisce risultati estetici di altissimo livello per il miglioramento di forma e colore del dente con un investimento economico ridotto rispetto a quello delle faccette.

Per il miglioramento estetico del sorriso è possibile schiarire il colore dei denti con prodotti per lo Sbiancamento Dentale. Esistono diversi percorsi per ottenere un risultato ottimale è possibile sbiancare i denti con un approccio immediato eseguito alla poltrona dall’Igienista Dentale e con un approccio domiciliare eseguito a casa da parte del paziente. In generale, il risultato ottenuto con lo sbiancamento domiciliare è migliore e più stabile nel tempo, anche se la procedura per lo sbiancamento immediato rimane efficace e trova, in alcuni casi, indicazioni specifiche.
L’estetica dentale offre diverse soluzioni per migliorare l’aspetto e la funzionalità del sorriso. I trattamenti più richiesti sono lo sbiancamento professionale, le faccette estetiche in ceramica, la ricostruzione e restauro estetico, l’ortodonzia estetica (allineatori trasparenti), gli impianti dentali con finalità estetiche.
Via Soperga, 8 20127 Milano - Dir. San. Dott. Mauro Virzì Citarra - Albo degli odontoiatri di Milano - N. iscrizione ordine 3134 - Informazione sanitaria ai sensi delle leggi 248/2006 e 145/2018 - P.IVA 11311610965
Lunedì: 9:00/19:00
Martedì: 9:00/19:00
Mercoledì: 9:00/18:00
Giovedì: 9:00/19:00
Venerdì: 9:00/18:00
Sabato: 9:00/14:00 su appuntamento